

Spark™ Junior ofrece un plan de tratamiento de dos fases diseñado específicamente para pacientes jóvenes. Apoya el cuidado ortodóntico personalizado y continuo desde la niñez hasta la adultez, brindando la sonrisa Spark que le encantará a sus pacientes.


Simplifique su clínica con la corrección de clase II integrada en su flujo de trabajo digital


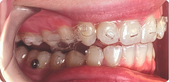
Spark BiteSync es un sistema de corrección de clase II que ofrece avance mandibular sincronizado, distalización maxilar y alineación dental sin la necesidad de un dispositivo extra. El sistema consta de una guía de oclusión y una SideBar, conectadas y alimentadas por elásticos de clase II, que pueden utilizarse en conjunto o de forma independiente.

BiteSync se personaliza para las necesidades de cada paciente dentro del software Spark. Solo tiene que seleccionar la opción Spark BiteSync dentro de DTX Portal, diseñar y aprobar el caso.


El diseño elegante pero robusto proporciona la durabilidad, eficiencia y flexibilidad que necesita para tratar a niños con dentición mixta, así como a adolescentes.

Sistema de corrección BiteSync de clase II
BiteSync es un sistema integrado para el avance mandibular sincronizado, la distalización maxilar y la alineación dental, basado en una biomecánica probada. BiteSync está disponible con Spark Junior Fase 1 y Fase 2.

Funcionalidades personalizadas
Satisface las necesidades específicas del tratamiento de pacientes en crecimiento. Todas las funciones estándar, dependiendo del tamaño de la corona y su relación con los dientes adyacentes o antagonistas, estarán disponibles para Spark Junior.

Idóneo para su clínica
Diseñado para adaptarse perfectamente a su clínica, favoreciendo tanto los resultados del paciente como la facilidad operativa. Tómese todo el tiempo que necesite entre la Fase 1 y la Fase 2.

Cómodo y transparente
Fabricado con el material TruGEN™ de Spark, lo que garantiza un ajuste cómodo con una apariencia discreta.¹
TruGEN™ XR también es una opción recomendada para pacientes jóvenes.

Esta es la de Annabelle.

Ormco le brinda todo el material de marketing necesario para explicar a padres y niños por qué nuestros alineadores transparentes podrían ser la opción de tratamiento ideal.




Pide una demostración

Asiste a una llamada de incorporación gratuita

Creamos tu cuenta Spark. Los profesionales de Spark tienen acceso a herramientas de marketing y podrán registrarse en el localizador de profesionales Spark en sparkaligners.com
